EnglishUkrainian

Художня реставрація

Бувають непередбачені ситуації, коли щось може піти не за планом. Наприклад, відколовся шматочок переднього зуба — це може зіпсувати не тільки настрій, але і буде заважати відкрито посміхатися. І вже не важливо чому так сталося. Важливо знайти спосіб терміново виправити ситуацію.

Сучасні можливості стоматології дозволяють легко впоратися з таким завданням. У деяких випадках потрібно всього кілька годин в гостях у фахівця. І після візиту ніхто навіть не помітить, що у Вас щось сталося.

Художня реставрація — це анатомічно правильне відновлення зуба зі збереженням усіх естетичних і функціональних властивостей.

Така реставрація ще називається «естетична» або «косметична», оскільки кінцева мета — досягнення високої естетики зуба. Методом реставрації зубів досягається відновлення і форми, і кольору зуба, при цьому відновлені зуби не будуть відрізнятися від здорових.

Процедура абсолютно безболісна, а при підвищеній чутливості зубів можна використовувати анестезію. При цьому виді відновлення, зуби піддаються мінімальній обробці, в порівнянні з класичним протезуванням. Ще однією перевагою є те, що ціна художньої реставрації зубів значно нижче протезування.

Показання для проведення естетичної реставрації зубів:

  • Карієс на більшій частині поверхні зуба
  • Щілини між зубами
  • Нерівна форма зубів
  • Скол частини зуба або руйнування більше половини зуба
  • Дефекти емалі

При художнїй реставрації зубів можуть застосовуватися два методи: прямий і непрямий.

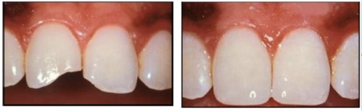
Прямий метод реставрації зубів

do-posle

При прямих реставраціях використовуються світлозатверджувальні композити (фотополімери) або склономірний цемент. Відновлення зуба проводиться безпосередньо в ротовій порожнині пацієнта.

Безперечною перевагою цього методу є те, що реставрація виконується за один візит до стоматолога. При необхідності в стандартних випадках за один день можна реставрувати кілька зубів — на реставрацію одного зуба може йти від 15 хвилин до години (в залежності від складності випадку).

Непрямий метод реставрації зубів

17502466262

Непряма реставрація зубів проводиться за допомогою вінірів.

Вініри — це тонкі фарфорові або композитні пластини, які виготовляються в зуботехнічній лабораторії і служать заміщенням шару зуба. На відміну від коронок, вініри покривають не весь зуб, а тільки його фронтальну частину.

 

Така реставрація проводиться в кілька етапів:

  • Підготовка до реставрації — при необхідності проводиться лікування, зуб пломбується за показаннями
  • зняття відбитків, виготовлення вініра за отриманими відбитками
  • установка та фіксація вініра

Реставрацію зубів за допомогою вінірів ефективно виконувати при наявності нерівнії поверхні зуба або не придатного кольору, коли інші способи, наприклад відбілювання, Не припустимі.

Завдяки вінірам можна відновити ідеальну посмішку, але цей метод не може бути використаний при неправильному прикусі, при заняттях екстремальними видами спорту (наприклад бокс) або відсутності жувальних зубів.

При необхідності вініри можна комбінувати з коронками — коли на одні зуби ставляться вініри, а на інші коронки, але тут важливо, щоб вони були виконані з одного матеріалу.

Якщо у Вас відколовся зуб або Ви зіткнулися з іншими питаннями, де потрібна художня реставрація зуба — знайте, що сучасна медицина з легкістю може вирішити це питання.

Який варіант вирішення вибрати саме у Вашому випадку ми завжди порадимо на консультації, вивчивши всі нюанси Вашої індивідуальної клінічної ситуації.

 

Якщо у Вас залишилися питання, ми із задоволенням допоможемо Вам отримати всі відповіді.

Залиште свій номер телефону, натиснувши на іконку телефону в правому нижньому кутку.

Ми зв’яжемося з Вами і підберемо зручний час та дату для консультації.

 

Будемо раді бачити Вас в клініках «Німецька стоматологія» в Києві за адресою:

— вул. Обсерваторна, 7 (в районі Цирку)

— вул. Драгомирова, 16-Б (Новопечерські Липки)

Посміхайтеся частіше! Вам це личить!

Поделиться: Share on Facebook Share on Google+ Tweet about this on Twitter Share on LinkedIn Share on VK