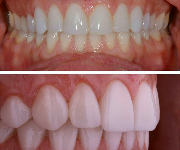
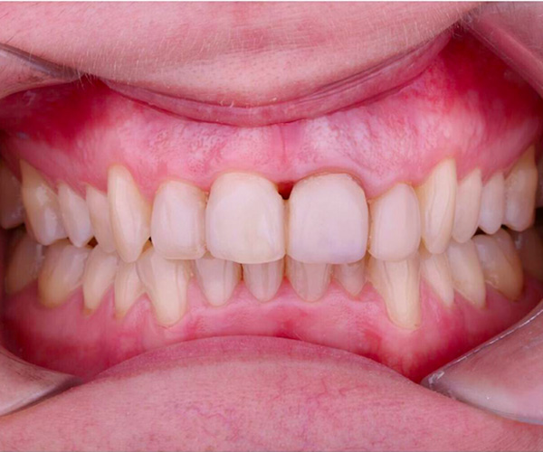
Найкращий відгук про нашу роботу - це рекомендації наших пацієнтів. Але ми з задоволенням покажемо і приклади наших робіт. Адже нам є чим пишатися!
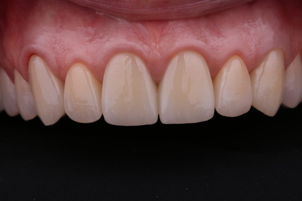
Сучасні технології і високий професіоналізм можуть творити дива. Сьогодні у Вас є можливість подарувати собі красиву голлівудську посмішку не виїжджаючи з Києва. У наших клініках ми застосовуємо широкий спектр стоматологічних послуг і естетичних рішень. Художня реставрація зубів, імпланти, коронки або вініри - ми гарантуємо якість результату на ці та інші наші роботи. На фотографіях вище Ви бачите ефективність застосування кожної з цих технологій.
Однакових посмішок не буває!
Тому до кожного пацієнта персональний підхід. Після консультації з фахівцем Ви отримуєте індивідуальний план лікування. Ми із задоволенням допоможемо Вам в питаннях краси і здоров'я, пов'язаних зі стоматологією.
Записатися на консультацію просто! Для цього залиште свій номер телефону, натиснувши на іконку телефонної слухавки в правому нижньому кутку. Ми перетелефонуємо найближчим часом і підберемо зручний час для візиту.
Будемо раді бачити Вас в наших клініках!